A Case of AKI on CKD, secondary to analgesic

Welcome to my blog! I am Varshitha Kalidindi, a 2nd year medical student. This is an e-log to discuss our patient's de-identified health data after taking informed consent of the patient. It also reflects patient centered online learning portfolio.

I will be looking forward to some feedback and valuable inputs through the comments box provided below.

I have been given this case in an attempt to understand the topic of "patient clinical data analysis" to develop my competency in reading and comprehending clinical data including history, clinical findings, investigations, diagnosis and treatment plan.

CASE:-

A 45 year old female patient, farmer by occupation, came to the casualty with complaints of generalised weakness since 2 days. She had vomitings and loose stools 2 days before. She has also been having right lower back ache since 2 years.

The patient was apparently asymptomatic until 2 years ago, when she started feeling pain in her right lower back. It was dragging type of pain, not associated with numbness, tingling sensation of upper/lower limb. Patient started taking NSAIDs daily once for 1 month, then took the tablet only when there was pain..

She even met an orthopaedician 6 months back in this hospital and was advised to get MRI of L.S. spine and was advised for surgery, which she didn't go through with.

Since 1 month, the patient has had a difficulty in passing stools (constipation). She had gone to a doctor 2 days before and was given lactulose syrup. After taking this for one day, the patient had watery stools, 5 episodes in a day and vomitings, 2 episodes in a day. It has subsided now.

HISTORY OF PRESENT ILLNESS:-

Before 2 years, the patient used to wake up in the morning, drink tea, eat breakfast at 9:00am and go to work in the fields. This work involved sowing seeds, spreading fertilizer in the field and harvesting. She then ate lunch at 1:00pm and, after work, she came back in the evening, at dinner at 9:00 pm and slept at night. She had all rice meals and non-veg on Sundays.

2 years ago, she started developing pain on the right lower back. It was a little difficult to lift heavy things because of the pain. She visited an RMP, who gave her tablets. She took them once a day for a month and then started taking them only when there was pain after that. The pain would subside on taking the tablets. Taking the tablet, however, reduced her stool frequency and stool was passed once in 5 days. She also experiences burning micturition whenever she takes the tablet.

6 months ago, she came to this hospital. After examination, she was told that she has a nerve related problem and was told to get an MRI of L.S. spine. She was also told that she'll need to undergo surgery. She didn't go through with this plan and didn't come back to the hospital, due to a suicide in the familly. At this point, it was becoming increasingly difficult for her to lift things, walk, bend and sit up. She hasn't been working either since this pain started.

Past 5 months, she's been having a decreased appetite and only ate when she was hungry. She told her family members she ate even though she didn't.

Past 1 month, she took tablets for the pain regularly, one in the morning and once in the evening.

2 days before being admitted here, she visited a doctor when she didn't pass stools for a week. She was given lactulose syrup. After taking this for a day, she had 5 watery stools and 2 episodes of vomiting in a day.

After admission, which was on 13th, she started getting treatment from the day of admission. She hasn't been feeling any pain till last night, which she says was because she didn't take the tablet. She is also not passing bowels unless she eats properly.

HISTORY OF PAST ILLNESS:-

Not a known case of diabetes, hypertension, CVA, asthma, tuberculosis, epilepsy

TREATMENT HISTORY:-

.History of blood transfusion

.Right renal stone ECSL (Extracorporeal Shock wave Lithotripsy) 6 years ago

.Had a hysterectomy

.Left cataract surgery 6 years ago

PERSONAL HISTORY:-

Appetite: reduced

Diet: non vegetarian

Bowels: reduced frequency

Micturition: abnormal

No habits/addictions.

FAMILY HISTORY:-

No family history of diabetes, hypertension, heart disease, stroke,cancer, tuberculosis, asthma

PHYSICAL EXAMINATION:-
General:-
No pallor, icterus, cyanosis, clubbing of fingers/toes, lymphadenopathy, oedema.

Vitals:-
Temperature: afebrile
Pulse rate: 100bpm
Respiratory rate: 12 breaths/min
BP: 110/70 mmHg
SPO2: 98%
GRBS: 138mg%

SYSTEMIC EXAMINATION:-

CVS: S1, S2 sounds heard

Respiratory system: Position of trachea is central, BAE+

Abdomen: Shape is scaphoid

CNS: The patient was conscious and alert with normal speech.

DIAGNOSIS:-

AKI on CKD secondary to ?analgesic

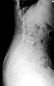
INVESTIGATIONS:-




On 13.1.2022 : Erect PA

On 17.1.2022 : LAT


TREATMENT:-







Cross Consultation Notes:-





Comments

Popular posts from this blog

A 77 year old woman with diminution of vision

46/M with Peripheral Neuropathy

A Case of Gross Bilateral Hydroureteronephrosis